〒330-0854 埼玉県さいたま市 大宮区 桜木町 2-297桜ビル1F

歯周病 エムドゲイン-さいたま市大宮区【大竹歯科クリニック】

HOME医師のご紹介当院のご案内診療案内交通案内

歯周病

モバイルサイト
御徒町イースト歯科
HOME»  歯周病

歯周病とは?

歯周病とは

日本臨床歯周病学会パンフレットより引用

歯周病は、歯肉の炎症だけにとどまらず、歯を支えている歯槽骨が破壊・吸収されていく疾患です。

歯周病の怖いのは、目立った自覚症状なしに歯槽骨の破壊が進行してしまう点です。
歯肉からの出血や歯の動揺など症状が現れた時には病状がかなり進んでいる事が多いのです。

歯槽骨の状態を正確に診断し、有効な処置を早く行うことが必要です。

歯周病の諸症状歯周病の諸症状

目立った自覚症状が無く進行する歯周病でも、全くないわけではありません。
身体は、SOSのサインをきちんと出しているんです。
このサインを見過ごさずに早期に治療に入りましょう。

歯周病のSOSのサイン

  • 歯がなんとなくむずがゆい
  • 歯ぐきが赤く腫れる
  • 歯を磨いた時に血が出る
  • 食べ物を咬みづらくなった
  • 歯と歯の間に食べ物がつまる
  • 歯が長くなったような気がする
  • 歯肉から膿が出る
  • 口の中がネバネバする
  • 口臭が気になる

歯周病治療の流れ

1
審査・診断

● 歯周組織の状態を検査します。
● お口の歯型を作り、噛み合わせの状態を検査します。
● X線写真検査を行い、歯を支えている歯槽骨の状態を検査します。

2
カウンセリング

● お口の中の状態を説明します。
● 必要な治療、治療方法、おおよその治療費・治療期間を説明します。
  

3
初期治療

初期治療では歯周病の原因を出来るだけ取り除き症状の安定化を図ります。

● 歯磨き:ブラッシングの改善によるプラークの除去。
● 患者様にご自身の身体の状態を理解していただき、生活習慣を改善します。
● スケーリング;付着した歯石を除去します。
● 噛み合わせの調整をします。
● 不適合の被せ物を仮歯に置き換えます。
● ぐらついている歯の固定を行います。
● 助けることが出来ない歯を抜歯します。

4
再検査

歯周組織の検査を再度行います。

● 歯槽骨の破壊・吸収が無い歯肉炎・初期の歯周病の場合は、 歯科治療を行った後、メインテナンス(定期検査)に移行します。
● 歯槽骨の吸収が著しい場合は、専門治療を行うか検討します。

5
歯周病先端治療

歯を助けるために歯槽骨の再生を図り、歯周組織の安定を図ります。

● エムドゲインを用いた歯周組織再生療法手術を行います。
● 歯槽骨の凹凸がなくなるように修正する手術を行います。
● 歯肉が下がった場合は、歯肉移植などの形成外科手術を行います。

6
再検査

● 手術後の経過観察を行います。
● X線写真検査を行い骨の状態を検査します。
● 再度、手術を行い骨の形態修正を行います。

7
補綴治療

● 噛み合わせの安定を図るために、義歯・被せ物・インプラント治療を行います。

8
メインテナンス

● 歯周病の再発を防ぐために、症状により1ヶ月~6ヶ月の間隔で定期健診を行っていきます。
● 定期健診では、歯科衛生士が専門的クリーニング(PMTC)を行います。

歯周病先端治療: エムドゲインを用いた歯周組織再生療法

エムドゲイン

歯を支えている骨(歯槽骨)の吸収・破壊が進んだ歯周病では、ブラッシング・歯石除去などの処置では効果がありません。
歯を守るためには歯槽骨自体の再生を図る必要があります。
現在エムドゲイン:骨成長因子剤を用いた手術が最も有効です。
当院では2000年から使用しております。
“あきらめるのは、まだ早いかも知れません!”

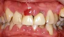
症例1 23歳 女性

< 治療前 >
 
< 治療後 >
治療前
矢印
治療後
歯肉の腫脹が著しい。
 
歯周組織が健康を取り戻した状態。

様々な問題を抱えている場合、その一つ一つに正しい処置を行えば必ず良い治療結果が得られます。

治療例2 21歳 女性

< 治療前 >
 
<治療後(エムドゲインを用いた再生療法)>
治療前
矢印
治療後
*歯肉の発赤・腫脹・出血。
*上顎前歯の隙間が広くなった。
歯科医院では歯ブラシを良くするようにと言われただけだった。
 
*発赤・腫脹・出血も全く見られない。
*歯肉も見るからに健康そうな綺麗なピンク色に。
*奥歯で咬めるようになったため、前歯の隙間が無くなったのが判ります。

X線写真による比較

< 治療前 >  
下顎前歯部
下顎左側大臼歯部
下顎前歯部
下顎左側大臼歯部
矢印
< エムドゲインによる治療後 >  
エムドゲインによる治療後
エムドゲインによる治療後

歯周形成外科手術

歯周組織は歯・歯肉・歯槽骨から成り立っています。
歯周組織には様々な原因によって様々な症状が現れます。
冷たい水や歯ブラシがしみたりする場合は、歯肉が下がってしまうことが原因です。
削らず、詰めず、歯肉を盛り足す事で形態を回復する新しい治療法です。

<治療例1>

< 治療前 >
 
< 治療中 >
 
< 治療後 >
治療前
治療中
治療後
歯列矯正治療によって、下顎前歯の歯根が露出してしまった。   歯槽骨の再生が難しい場合は、厚い結合組織を移植する事で露出した歯根をカバーする事が可能です。   厚い歯肉でカバーされた事で、安定している。

<治療例2>

< 治療前 >
 
< 治療後 >
治療前
矢印
治療後
歯肉が下がって歯根面が露出するとしみるだけでなく、根面が虫歯になってしまいます。
このエナメル質と象牙質の境界は、削って詰めたりしない方が良い場所なのです。
触れば触るほど、歯肉はさがり、虫歯になります。
  上顎から厚い結合組織を移植し、露出した根面。
ページトップへ